中心結節の破折からの根尖病変
- 2026/04/01
- 症例集
患者さんは10代の男性
歯茎がかなり腫れてきた。痛みが続く
レントゲンは以前のもの

以前冷たいものが染みるということでレントゲンを撮影したが、中心結節が欠けたためと診断し、経過観察を行なっていた。
ところが7ヶ月経過して急に歯茎が腫れてきたとのことで来院

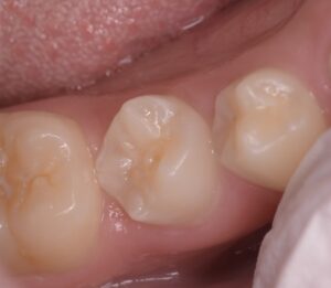
ここの真ん中の歯に中心結節があったが、そこの破折からの根管内への細菌感染とすぐに判断した。CBCTを撮影させていただき、歯根は完成しているため、再生歯内療法(REP)ではなく、MTAで根管充填をしようと計画
当日根管治療を実施し、根管充填まで行なった

翌日、痛みがないことを確認し、ダイレクトボンディングで治療を終了とした

2023年にJOEというアメリカの歯科雑誌にて、中心結節を持つ歯(Dens Evaginatus)に関する論文がある。
Current Management of Dens Evaginatus Teeth Based on Pulpal Diagnosis.
ここでは、中心結節が折れて症状がある時は、歯髄を少し触って炎症がないところでMTAを使い、上はコンポジットレジンで封鎖する、いわゆる生活歯髄療法(VPT)を行うべしと書いている
ここまで攻めた治療はあまりやりたくないけど、やらないといけないのか、と今回の症例で感じた。

監修記事
院長 板東 秀典(ばんどう ひでのり)
大阪大学歯学部卒業
すもと歯科クリニック・とがわ歯科クリニック 副院長を経て、
2021年7月 ヒデ歯科クリニック 開業
90歳で20本以上健康な歯を残す「9020(キューマル・ニーマル)」をスローガンに掲げ、虫歯治療から予防治療・歯周病・インプラント・お子様の治療など多岐にわたる診療に従事している。