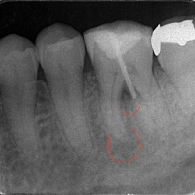
中心結節の破折からの根尖病変 2026/04/01 症例集 内容:下顎の小臼歯のMTA根管充填 治療費:12万円 治療期間:2回 主なリスク:術後の痛み 患者さんは10代の男性 歯茎がかなり腫れてきた。痛みが続く レントゲンは以前のもの 以前冷たいものが染みるということでレントゲンを撮影したが、中心結節が欠けたためと診断し、経過観察を行なっていた。 ところが… 続きを読む
日本人に意外と多いRadix Entomolaris 2026/04/01 症例集 内容:下顎大臼歯の根管治療 治療費:12万円 治療期間:1回 主なリスク:術後の痛み 患者さんは50代男性 左下の歯が腫れてきた レントゲン 近心根と分岐部に病変があります。 保険治療は痛みを取るのがメインであって、歯におけるエナメル質や象牙質などを大きく削っても痛みさえ取れれば良いという考… 続きを読む