当院の勧める根っこの治療について
- 2026/02/21
- 顕微鏡歯科
本日は当院がどのような考えをもって治療、とくに歯の根っこの治療をしているのかをお話しします。
これからは根っこの治療を根管治療というようにします。さらに英語でEndodonticsというので、わたしたち歯科医師はエンド治療と言っています。
私が現在研究しているのは、モダンエンドというヨーロッパ式の根管治療です。これはイギリスにいる私の師匠であるShanon Patel先生らが近年勧めている治療で、原点は名古屋の井野泰伸先生にあります。私がこのモダンエンドに取り組むきっかけが井野先生のセミナー受講です。
さて、この治療がどのようなものかというお話をしていきたいと思います。従来(日本の保険治療がそうです)、根管治療をしてしまうと歯が割れやすくなって抜歯に直結すると考えられていました。そのため、歯科医師の間では、根管治療をするのを避けられてきましたし、保険治療の報酬も赤字になるように設定されています。治療をするくらいなら抜歯してインプラント治療した方が効率は良い、という考えなのでしょうか?

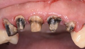
また、大きく削って被せ物をしないと治療報酬的に赤字になるということで、本当に大事な部分を削っては金属で被せてきました。歯を守るための理論を完全に無視した治療(破壊行為?)が平然と行われているのが現状です。そうしないと医院経営ができないような健康保険のシステムが悪いと考えていますが、安かろう悪かろうで通用していました。その結果、上の写真のように、被せ物の縁からは細菌がドバドバ入り、外すと歯がボロボロという悲しい状況がつくられてしまいました。被せ物は丈夫なので、外からはわからないけど、中は腐ってグジュグジュ、という歯を何千本見てきたことでしょう
そこで、最近の世界的(とくにヨーロッパ)な潮流としては、被せ物をせずに、最小限で治療できないか?そして、歯が割れたり、虫歯を再発させないための理論はないか?が活発に議論されています。その結果、築き上げられてきたのが以下のモダンエンドの考えです。
- ラバーダム防湿は必須
- 最小限の入り口で根管治療を行う
- 根管の形を崩さずに最小限で削る
- 細菌を化学的に消毒する
- MTA系シーラーでTreg細胞系を働かせる(消炎)
- 強化プラスチックで歯の形をつくる
当院では、このモダンエンドの考えを踏襲し、いかに歯が長く残るか、しっかりと噛めるかを追求しております。今回提示する症例は、その一つです。

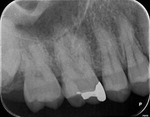
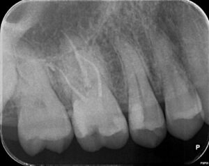
他院で治療をしてもらったが、痛みがずっと続く、ということで当院に来られました。診査の結果、右上6番目の歯の神経が細菌感染を起こしているため、痛みが続いているとわかりました。そこで、2回に分けて、根管治療と修復処置を行いました。

横の右上5番目の歯は神経近くまで虫歯は進んでいましたが、神経を保存することが出来ました。
このまま少なくとも1年以上は経過をみて、問題がないかを確認する必要がありますが、現状は痛みもなく噛めているとのことで治療は無事に終了となりました。
私たち歯科医師は、歯から全身の健康を救う使命があります。歯がなくなったり、痛みがあると途端に食事への影響と消化器官への影響が出ます。この使命を忘れて、勉強もせず、安かろう悪かろうで仕事をしてしまうことは罪だと思います。なので、ヒデ歯科クリニックでは、前述のような被害者を出さないためにも勉強し続けます。歯科の勉強はかなり面白いので継続はできそうですが、ただ、最新の治療をするには費用面でかなりの投資が必要です。海外で最新の治療をしている先生の勉強会を受けるのに3日で50万円超えだったり、最新の顕微鏡で最高機種だったら1000万円を超えたりします(まだ買えないですけど、いつか欲しい!)
健康保険では、こういった最新の治療はカバーしていないので、自由診療にはなります。ご自身の歯と身体の健康が大事だと思っていただける人にはピッタリの治療です。モダンエンドは世界的にも自慢できる治療でありますが、これが当たり前に受けられる時代が来ることを願うばかりです。

監修記事
院長 板東 秀典(ばんどう ひでのり)
大阪大学歯学部卒業
すもと歯科クリニック・とがわ歯科クリニック 副院長を経て、
2021年7月 ヒデ歯科クリニック 開業
90歳で20本以上健康な歯を残す「9020(キューマル・ニーマル)」をスローガンに掲げ、虫歯治療から予防治療・歯周病・インプラント・お子様の治療など多岐にわたる診療に従事している。