日本人に意外と多いRadix Entomolaris
- 2026/04/01
- 症例集
患者さんは50代男性
左下の歯が腫れてきた
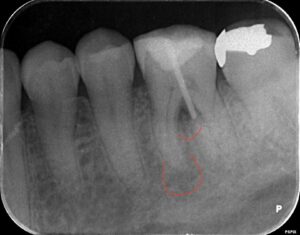
レントゲン

近心根と分岐部に病変があります。
保険治療は痛みを取るのがメインであって、歯におけるエナメル質や象牙質などを大きく削っても痛みさえ取れれば良いという考えのため、当院では採用しなくなりました。
当院では、歯を永く残すことをコンセプトにしているため、歯を削るのは最小限にして、日本人の抜歯理由第3位である破折を防ぎたいと考えています。
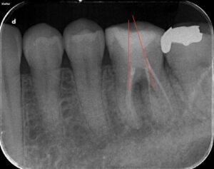
今回のケースも最小限の入り口から根管治療を行うのですが、Radix Entomolarisと呼ばれる歯根のところが難しいと予想しました。事前にCBCTを撮影して、シミュレーションを毎回行っています。あとは私が開発した方法を利用して入り口の大きさを決定しています。それが下のレントゲン写真です。

Screenshot

1回目の処置が先週終わり、本日2回目の治療として、ダイレクトボンディング法にて修復処置を終えました。
痛みや腫れがなくなったということで、治療は一旦終了し、3ヶ月後以降先でレントゲンを撮影し、骨が再生してきているかを評価する運びとなりました。
治療を成功させるためには、事前の計画と患者さんの協力(あごを開けておく)が必要です。日本人の根管治療は下手だと、海外の人には揶揄されていますが、手先が器用な日本人の名誉挽回のために奮闘し続けます。

監修記事
院長 板東 秀典(ばんどう ひでのり)
大阪大学歯学部卒業
すもと歯科クリニック・とがわ歯科クリニック 副院長を経て、
2021年7月 ヒデ歯科クリニック 開業
90歳で20本以上健康な歯を残す「9020(キューマル・ニーマル)」をスローガンに掲げ、虫歯治療から予防治療・歯周病・インプラント・お子様の治療など多岐にわたる診療に従事している。